8 MALES ET 4 FEMELLES SONT NES LE 4 NOVEMBRE 2014

Tout c'est super bien passé
G ' UNE OBSESSION DE LA CITE DES GRANDS FEUX
N° d'origine 134790/20492
Cotation 4 - Recommandé
Tares Dysplasie coxo-fémorale : AA
Dysplasie du coude : 0/0
G ' UNE OBSESSION DE LA CITE DES GRANDS FEUX
N° d'origine 134790/20492
Cotation 4 - Recommandé
Tares Dysplasie coxo-fémorale : AA
Dysplasie du coude : 0/0
3ème de la classe débutant à la Nationale d'élevage à la souterraine 2012.
Obtient son Cant à la Nationale d'élevage à la souterraine 2012.
Confirmé au standard à Meulan le 14-12-12
Cotation 4 à la Nationale de GIEN en 2013
Obsession a eu son CACCBT en 2013 avec Philippe Haeyaert
TRAVAIL SUR TROUPEAU
AVEC
Ch.Armageddon du Gardiens du Chaos
TRAVAIL SUR TROUPEAU
AVEC
Ch.Armageddon du Gardiens du Chaos

Fils de Attrayant Garde de la Vie (Jetta) et Udson du Murier de Sordeille
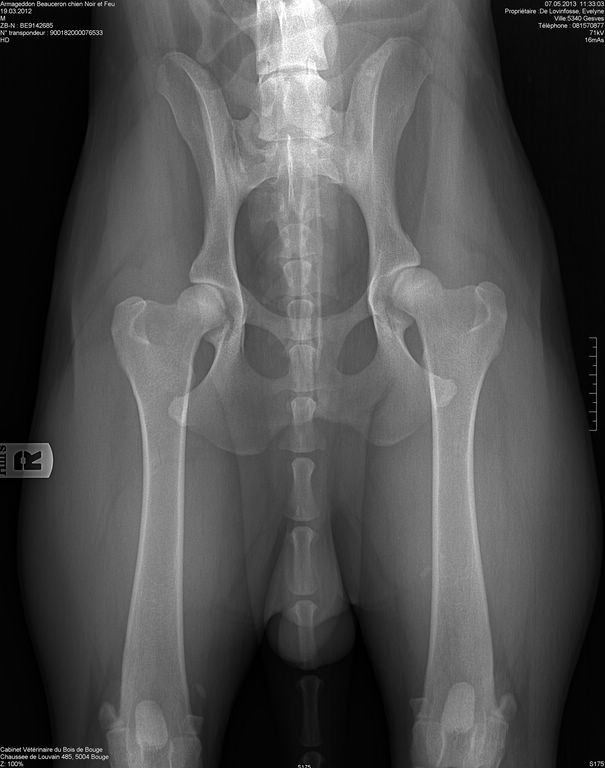
Né le 19/03/2012 Pedigree MET 365/12 - LOSH 9142685
Cotation 4 - Recommandé HD B1 ED 0/0 (B)
HD A (F)
"Aragon"
Etalon Recommandé à la Nationale d'Elevage (France) en mai 2013 et classé Meilleur Jeune Mâle.
Titulaire du CSAU (Certificat de Sociabilité et d'Aptitude à l'Utilisation)
CANT Troupeau - Test de Sociabilité - Identité génétique
Né le 19/03/2012 Pedigree MET 365/12 - LOSH 9142685
Cotation 4 - Recommandé HD B1 ED 0/0 (B)
HD A (F)"Aragon"
Etalon Recommandé à la Nationale d'Elevage (France) en mai 2013 et classé Meilleur Jeune Mâle.
Titulaire du CSAU (Certificat de Sociabilité et d'Aptitude à l'Utilisation)
CANT Troupeau - Test de Sociabilité - Identité génétique
https://www.au-fond-des-camps.com/expo/chiens_Armageddon.htm
« Jetta » (hongroise) Mère D'ARMAGEDDON : FCI bébé Best Show winner, Best Puppy in Show vainqueur du Champion hongrois Junior Champion hongrois Derby gagnant
5 x CAC, res.CACIB, 2 x CACIB, 5 x BOB, 2 x BIS.
Activité : Traction poids tirant (900kg), ring, frisbee, travail au troupeau
Plusieurs vidéos sont disponibles sur youtube
« Jetta » (hongroise) Mère D'ARMAGEDDON : FCI bébé Best Show winner, Best Puppy in Show vainqueur du Champion hongrois Junior Champion hongrois Derby gagnant
5 x CAC, res.CACIB, 2 x CACIB, 5 x BOB, 2 x BIS.
Activité : Traction poids tirant (900kg), ring, frisbee, travail au troupeau
Plusieurs vidéos sont disponibles sur youtube